着床前診断(PGT)について
⽬的に応じて、移植の前に体外受精で得られた胚の染⾊体や遺伝⼦を調べる検査です。
- PGT-A:胚の染色体の本数の変化を調べる検査
- PGT-SR:胚の染色体の構造の変化を調べる検査
- PGT-M:受精卵の遺伝子の変化を調べる検査
の3種類の検査があります。
染色体と流産の関係
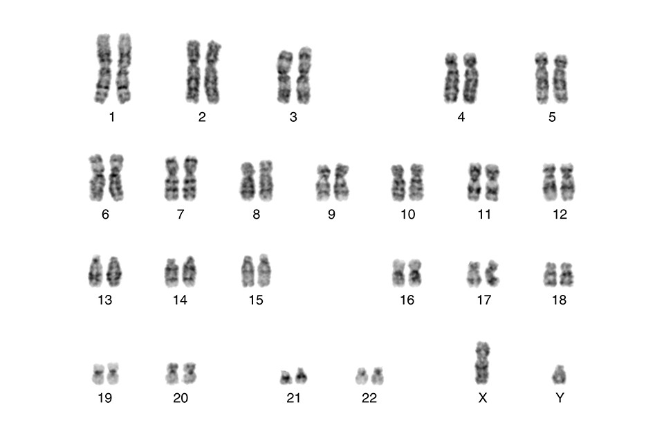
ヒトは両親から染色体を1本ずつ引き継いで46本の染色体を対で持っています。(22組の常染色体と1組の性染色体)
染色体の中には遺伝子があり、本来なら2本ずつである染色体が、3本や1本になると遺伝子が過剰になったり、不足することで胚がうまく着床することができず、流産となってしまいます。妊娠初期(妊娠12週未満)で起こる流産のほとんどが赤ちゃんの染色体異常が原因であると言われています。
均衡がとれている染色体
1番から22番の常染色体と1対の性染色体を両親から1本ずつ受け継いでいる。
PGT-A
PGT-A:preimplantation genetic test for aneuploidy
体外受精で得られた胚の染色体の数を流産を防ぐことを目的として移植前に調べる検査です。
PGT-Aの流れ
-
STEP01
体外受精で得られた胚を胚盤胞まで培養します。
-
STEP02
胚盤胞の栄養外胚葉から細胞を⽣検します。
-
STEP03
⽣検した細胞塊は検査機関へ送り解析を⾏います。⽣検の終わった胚盤胞は凍結保存をします。
-
STEP04
検査結果に基づき移植胚の順位や移植可能胚かどうかを判断します。
-
STEP05
移植周期に選択した胚を融解して移植します。
検査結果
検査機関で生検された胚の一部(TE)を解析します。
検査結果は4つの結果に分類されます。
メリット
- 正常な染色体数の胚を移植できた場合、移植あたりの妊娠率が高くなります。
- 流産の可能性がある胚を避けることで、妊娠あたりの流産率が低くなります。
デメリット
- 正常な染色体数の胚を得ることができず、移植ができなかったり、移植までに時間がかかる場合があります。
- 保険治療との併用ができないため、自由診療となり高額な治療費がかかってしまう。
- 検査結果が判定の難しいモザイク胚の可能性がある。
- 生検を行うことで胚にダメージを与える可能性がある。
- 遺伝子検査を行うことで予測外の遺伝情報がわかる可能性がある。
留意点
- 将来胎盤になる細胞(TE)を検査するために、将来胎児となる部分(ICM)と検査結果が異なる可能性があります。
- 性別の情報を開示することはできません。
- 検査の結果、全ての胚が移植に適さない胚となる場合があります。
- 生検による胚のダメージや、染色体以外の影響で流産が起こる場合があります。
- モザイク胚の判定の場合、移植にはモザイクの割合や染色体番号に基づいて検討する必要があります。
- 遺伝カウンセリングをご希望の方は担当医師にご相談ください。
対象
- 体外受精胚移植を行い2回以上の不成功がある不妊症の夫婦
- 過去に2回以上の流産死の既往歴のある方
- 夫婦のいずれかに均衡型転座が認められる場合はPGT-Aの対象外となります。
- 検査に実施についてはお電話または外来で担当医師ご相談ください。
PGT-SR
PGT-SR:preimplantation genetic test for chromosomal structural rearrangement
体外受精で得られた胚の染色体の構造を流産を防ぐことを目的として移植前に調べる検査です。
夫婦のいずれかに染色体構造異常が確認されている不育症のご夫婦が対象です。
特定の染色体間で起こる構造異常を調べる検査です。
- 検査のながれについてはPGT-Aと同じになりますが、ご夫婦の染色体検査が必要になります。
- 検査に際しては遺伝カウンセリングを受ける必要があります。
費用について
| PGT-A/PGT-SR検査 | 新鮮胚盤胞 | 154,000 円 (1個追加ごとにプラス85,000円) |
|---|---|---|
| 融解胚盤胞 | 176,000 円 (1個追加ごとにプラス90,000円) |
|
| 遺伝カウンセリング | 11,000 円 (2回目以降5,000円) |
|
| 染色体検査 | 33,000 円 (夫婦で66,000円) |
|
※すべて税抜価格です。別途消費税がかかります。





